드라마가 끝난 지 한참 지났는데도 아직까지 주인공과 장면이 생각하는 드라마가 있습니다. 바로 '눈물의 여왕'입니다. 그 드라마 여주인공이 악성 뇌종양에 걸렸다가 극복했는데 드라마를 보다 보니 문득 여주인공이 걸린 병이 어떤 것인지 궁금해졌습니다. 드라마 속에서는 섬망과 기억상실증 증상을 보이며 질환의 이름이 '클라우드 세포종'이라고 나오지만 이러한 질환은 실제로 존재하지 않습니다. 가장 비슷한 질병을 생각해 본다면 교모세포종이 아닐까 생각이 됩니다. 오늘은 여주인공인 앓았던 질병은 아니지만 가장 흡사한 교모세포종에 대해서 알아보겠습니다.

교모세포종이란?
교모세포종(Gliooblastoma)은 뇌에서 발생하는 악성 뇌종양 중 하나로, 가장 흔하고 공격적인 형태의 성인 뇌종양입니다. 이 종양은 신경교종이라고 하는 뇌실질 세포 안에 있는 교세포에서 생기는 종양으로 매우 빠르게 성장하고 주변 뇌 조직을 침범합니다. WHO 뇌종양 분류Ⅰ‧Ⅱ‧Ⅲ‧Ⅳ 등급 중 Ⅳ 로 분류되는 가장 높은 등급의 악성 뇌종양으로 치료하지 않을 경우 생존기간이 3~6개월로 매우 짧으며, 치료를 받는 경우에도 여전히 예후가 좋지 않아 평균 12~15개월 생존하는 것으로 알려져 있습니다.
신경 교세포는 신경세포를 지지하고 보호하는 세포로 신경계의 건강과 기능을 유지하는 데 중요한 역할을 합니다. 주요 교세포로 뇌에 영양을 공급하고 신경전달물질의 균형을 조절하는 성상세포, 신경섬유를 감싸는 미엘린 수초를 형성하여 신경신호를 전달하는 희소돌기아교세포, 뇌의 면역세포인 미세아교세포, 뇌실을 감싸고 뇌척수액을 만들어 순환시키는 상피세포가 있습니다.
신경교종은 신경교세포에서 발생합니다. 신경교종에는 교모세포종, 성상세포종, 희소돌기아교세포종, 상피세포종 등과 같은 여러 종류가 있는 데 그중 대표적인 것이 교모세포종입니다. 교모세포종은 매우 빠르게 성장하며 주변 뇌 조직으로 퍼져나가는데, 종양의 경계가 불명확하여 어디까지 퍼져있는지 알기 어렵습니다. 이 때문에 방사선 검사나 수술 중에도 종양이 실제로 얼마나 퍼져있는지 정확히 파악하기 어려운 경우가 많습니다.
또한 교모세포종은 뇌의 중요한 기능을 담당하는 부위에 자주 발생하므로 수술로 완전히 제거하기가 어렵습니다. 방사선 치료로도 종양을 완전히 제거할 수 없고 뇌-혈관 장벽이라는 특수구조 때문에 항암제가 뇌에 잘 침투하지 못합니다. 이로인해 효과적인 항암제를 찾기 힘들고 교모세포종의 치료가 매우 어려워 예후가 좋지 않은 난치병으로 여겨집니다.

교모세포종의 원인
교모세포종의 원인에 대한 이해는 여전히 연구 중이며 여러 가지 요인이 복합적으로 작용할 수 있습니다. 교모세포종은 주로 유전적 변이에 의해 발생하며 이러한 변이는 다양한 원인에 의해 유발될 수 있습니다.
1. 유전적 변이
교모세포종의 발생에는 다양한 유전자 변이가 관여합니다. 이러한 변이는 세포의 성장과 분열을 조절하는 유전자에서 발생하며 세포가 비정상적으로 증식하게 만듭니다.
- TP53 유전자 : 종양 억제 유전자인 TP53 변이는 세포주기의 조절을 방해하여 종양 형성을 촉진할 수 있습니다.
- EGFR (Epidermal Growth Factor Receptor) : EGFR의 돌연변이 또는 과발현은 세포 성장을 촉진하는 신호 경로를 활성화시킵니다.
- IDH1 및 IDH2 : 돌연변이는 특히 2차 교모세포종에서 흔히 발견되며 세포 대사와 관련된 변화를 유발합니다.
2. 유전성 증후군
특정 유전성 질환은 교모세포종의 발생 위험을 높입니다. 이러한 질환을 가진 사람들은 유전적 변이에 더 취약할 수 있습니다. 주요 유전성 증후군으로는 다음이 있습니다.
- Turcot 증후군 : 대장암과 뇌종양 발생 위험을 증가시킵니다.
- 결절성 경화증(Tuberous Sclerosis) : 피부, 뇌, 신장 등에 양성 종양이 발생할 수 있으며, 뇌종양의 위험도 증가합니다.
- 신경섬유종증 1형(NF1) : 신경계 종양 발생 위험이 높습니다.
- 신경섬유종증 2형(NF2) : 청신경종 등 다양한 신경계 종양 발생 위험이 높습니다.
- 리 푸라우메니 증후군(Li-Fraumeni Syndrome) : 여러 종류의 암 발생 위험이 높은 유전적 질환입니다.
3. 환경적 요인
환경적 요인도 교모세포종 발생에 기여할 수 있습니다.
- 방사선 노출 : 특히 뇌에 방사선 치료를 받은 사람들은 교모세포종 발생 위험이 높아질 수 있습니다.
- 화학적 발암 물질 : 특정 화학 물질에 장기간 노출될 경우 유전자 변이를 유발할 수 있습니다.
4. 바이러스
일부 연구에서는 바이러스 감염이 교모세포종과 연관이 있을 수 있다고 제안하고 있습니다. 예를 들어 인간 거대 세포 바이러스(HCMV)가 교모세포종 세포에서 발견된 사례가 있습니다. 그러나 이와 같은 바이러스와 교모세포종 간의 명확한 인과관계는 아직 확립되지 않았습니다.
5. 기타 요인
- 면역 체계의 이상 : 면역 체계의 기능 장애가 종양 형성에 기여할 수 있습니다.
- 노화 : 나이가 들수록 교모세포종의 발생 위험이 증가합니다.

교모세포종의 증상
교모세포종의 증상은 종양이 뇌 내에서 자라는 위치와 크기에 따라 다양하게 나타날 수 있습니다. 크게 두 가지 범주로 나눌 수 있습니다. 두개강 내압 상승에 따른 증상과 종양의 뇌조직 침습부위와 정도에 따른 증상으로 나눌 수 있습니다.
▶ 두개강 내압 상승에 따른 일반적 증상
교모세포종이 자라면서 뇌 안에서 차지하는 공간이 커지면 두개강 내압이 상승하게 됩니다. 이로 인해 발생하는 일반적인 증상은 다음과 같습니다.
1. 두통
특히 아침에 심하게 느껴지며 기침이나 재채기, 구부릴 때 악화될 수 있습니다. 두통은 종종 지속적이고 일반 진통제로 잘 가라앉지 않는 경우가 많습니다.
2. 구토
주로 아침에 발생하며 두통과 동반될 수 있습니다. 심한 경우 식사 후에도 구토가 나타날 수 있습니다.
3. 시야장애
시야가 흐릿해지거나 이중으로 보이거나, 시야의 일부가 사라질 수 있습니다. 이러한 증상은 뇌압이 시신경을 압박하기 때문에 발생합니다.
4. 졸음 및 의식 저하
지속적인 졸음, 혼란, 집중력 저하 등의 증상이 나타날 수 있습니다. 심한 경우 혼수상태로 진행될 수 있습니다.

▶ 종양의 뇌조직 침습 부위와 정도에 따른 국소 증상
교모세포종이 뇌의 특정 부위를 침범하면 그 부위가 담당하는 기능에 따라 다양한 국소 증상이 나타납니다. 주요 증상은 다음과 같습니다.
1. 운동 기능 장애
종양이 뇌의 운동 영역을 침범하면 팔이나 다리의 힘이 약해지거나 마비가 올 수 있습니다. 몸의 한쪽만 영향을 받는 경우가 많습니다.(편마비)
2. 감각 이상
피부의 감각이 둔해지거나 무감각해질 수 있습니다. 촉각, 통증, 온도 감각 등이 변화할 수 있습니다.
3. 언어 장애
말을 하거나 이해하는 데 어려움이 생길 수 있습니다. 이 증상은 주로 종양이 좌뇌의 언어 영역을 침범할 때 나타납니다.
4. 시야 장애
종양이 후두엽을 침범하면 시야의 일부가 사라지거나 시각적 착각이 생길 수 있습니다.
5. 발작
종양이 뇌의 전기적 활동을 방해하면 발작이 발생할 수 있습니다. 이는 흔히 교모세포종의 초기 증상 중 하나입니다.
6. 성격 및 인지 변화
종양이 전두엽을 침범하면 성격 변화, 판단력 저하, 기억력 감소 등이 나타날 수 있는데 환자가 갑자기 성격이 변하거나, 일상적인 활동에 어려움을 겪을 수 있습니다.
7. 균형 및 조정 문제
종양이 소뇌를 침범하면 균형 감각이 떨어지고 걸음걸이가 불안정해질 수 있습니다. 손의 움직임이 서툴러지고 미세한 작업을 수행하는 데 어려움이 생길 수 있습니다.

교모세포종의 진단
교모세포종 검사 및 진단 과정은 여러 단계로 구성되며, 각 단계는 환자의 상태를 정확하게 평가하고 적절한 치료 계획을 세우는 데 중요합니다. 주요 과정은 다음과 같습니다.
1. 임상 평가 및 병력 조사
- 증상 확인 : 두통, 구토, 시야 변화, 발작, 인지 기능 저하 등의 증상이 있을 수 있습니다.
- 병력 조사 : 환자의 과거 병력, 가족력 및 현재 증상을 확인합니다.
2. 신경학적 검사
환자의 신경학적 상태를 평가합니다. 뇌의 다양한 기능을 평가하여 종양의 위치와 영향을 확인합니다. 여기에는 반사, 근력, 감각, 균형, 조정력 등이 포함됩니다.
3. 영상 검사
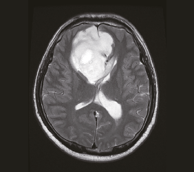
- MRI(자기공명영상) : 교모세포종을 진단하는 데 가장 중요한 검사입니다. 조영제를 사용한 MRI는 종양의 위치, 크기, 침습 정도를 상세히 보여줍니다.
- CT(컴퓨터단층촬영) : MRI가 불가능한 경우 또는 뇌출혈 등 급성 상태를 평가할 때 사용됩니다.
- PET(양전자 방출 단층촬영) : 종양의 대사 활동을 평가하여 악성 종양의 특성을 확인합니다.
4. 생검
- 수술적 생검 : 정확한 진단을 위해 종양 조직을 채취하여 현미경으로 검사합니다. 이를 통해 종양의 세포학적 특성과 유전자 변이를 분석합니다.
- 병리학적 분석 : 생검으로 얻은 조직을 현미경으로 분석하여 세포의 형태와 분열 정도를 평가합니다.
5. 분자 진단
- 유전자 검사 : 특정 유전자 변이(예: IDH1, MGMT 메틸화 상태 등)를 분석하여 종양의 생물학적 특성을 파악하고 예후 및 치료 반응을 예측합니다.
- 면역조직화학 검사 : 종양 세포의 특정 단백질 발현을 확인하여 진단 및 치료에 필요한 정보를 제공합니다.

교모세포종의 치료
교모세포종의 치료는 매우 복합적이고 다각적인 접근이 필요합니다. 치료의 기본적인 목표는 종양을 최대한 제거하고 남아 있는 종양 세포를 제거하여 재발을 막는 것입니다.
1. 수술
교모세포종 수술의 목적은 정확한 진단과 증상 완화, 다른 치료의 효과를 증대시키기 위함입니다.
- 정확한 진단(조직 검사) : 수술 중 종양 조직을 떼어내어 현미경으로 검사합니다. 이를 통해 종양의 종류와 특성을 정확히 알아낼 수 있습니다. 이렇게 하면 이후에 어떤 치료가 가장 효과적일지 결정하는 데 도움이 됩니다.
- 증상 완화 : 종양이 뇌 안에서 자라면서 뇌압을 높입니다. 수술로 종양의 일부를 제거하면 뇌압이 낮아져 두통, 구토, 시야 문제 등 증상이 줄어들게 됩니다. 또한 종양이 뇌의 중요한 부분을 압박해서 생기는 신경학적 증상(예 : 마비, 언어 장애)을 완화할 수 있습니다.
- 다른 치료의 효과 증대 : 가능한 한 많은 종양을 제거하면 남은 세포를 방사선 치료와 항암 치료로 더 효과적으로 치료할 수 있습니다.
수술은 형광 유도 수술, 뇌항해기법장치, 수술 중 전기 생리학적 모니터링, 각성 수술 등 다양한 수술 보조 기술들을 적용하여 시행합니다.
- 형광 유도 수술 : 종양 세포를 더 잘 볼 수 있게 하는 형광 물질을 사용하여 종양과 정상조직을 구별하기 쉽게 합니다.
- 뇌항해기법장치 : 뇌의 3D 지도를 이용해 수술 중 정확한 위치를 파악합니다.
- 신경 기능 모니터링 : 수술 중에 신경의 전기 신호를 모니터링하여 중요한 신경이 손상되지 않도록 합니다. 이렇게 하면 수술 중에도 환자의 신경 기능을 실시간으로 확인할 수 있습니다.
- 각성 수술 : 일부 중요한 뇌 부위의 경우 예를 들어 말을 담당하는 부위 근처에서 수술할 때 환자를 깨어 있게 하여 말을 시키면서 수술을 진행합니다. 이렇게 하면 수술 중에 뇌의 중요한 기능을 보호할 수 있습니다.
2. 방사선 치료
수술 후 남은 종양 세포를 제거하기 위해 방사선 치료를 시행합니다. 고에너지 방사선을 외부에서 종양 부위에 집중시켜 종양 세포를 파괴합니다. 방사선 치료 기간은 매일(주 5회) 약 6주 동안 진행됩니다.
- IMRT(세기조절 방사선 치료) : 방사선 세기를 조절하여 종양 부위에만 집중적으로 방사선을 조사하고 주변 정상 조직을 보호합니다.
- SRS(정위 방사선 수술) : 고도의 정밀도로 종양에 고용량의 방사선을 한 번에 조사하는 방법입니다. 크기가 작은 종양에 주로 사용됩니다.
3. 화학 요법
테모졸로마이드(Temozolomide)와 같은 약물을 사용하여 종양 세포를 죽이는 치료법입니다. 테모졸로마이드는 교모세포종의 표준 화학요법 약물로 알킬화제 계열의 항암제입니다. DNA를 알킬화하여 종양 세포의 DNA 복제를 방해하고 세포 사멸을 유도합니다. 알약 형태로 복용하는데 방사선 치료와 함께 테모졸로마이드를 복용하면 더 효과가 커집니다. 방사선 치료 기간 동안 매일 테모졸로마이드를 복용합니다. 재발 위험을 줄이기 위해 방사선 치료 후에도 몇 개월동안 테모졸로마이드를 복용하기도 합니다.
4. 표적 치료
종양의 특정 유전자 변이를 목표로 하는 약물을 사용합니다. 베바시 주맵은 혈관 형성을 억제하는 약물로 교모세포종의 혈관 신생을 차단하여 종양 성장을 억제합니다.
5. 면역 요법
환자의 면역 체계를 강화하여 종양 세포를 공격하도록 유도합니다. 현재 연구 중이며 일부 환자에게 사용되고 있습니다.
마치며
교모세포종은 매우 빠르게 성장하고 주변 뇌조직을 침범하여 예후가 좋지 않은 난치병으로 잘 알려져 있습니다. 교모세포종의 치료는 다학제 팀(신경외과, 방사선 종양학과, 종양 내과 등)이 협력하여 환자에게 맞춤형 치료 계획을 세우는 것이 중요합니다. 수술, 방사선 치료, 화학 요법을 결합하여 최적의 치료 효과를 얻고, 환자의 삶의 질을 최대한 유지하는 것을 목표로 해야 합니다.
단순히 드라마 여주인공이 걸린 질병 알아보다가 이렇게 글을 쓰게 됐습니다만 교모세포종은 워낙 어려운 질환이라 저의 정리가 많이 부족하리라 생각이 됩니다. 포스팅은 질병에 쉽게 다가가기 위한 목적으로 작성되었으며 오류가 있을 수 있는 것을 알려드립니다. 평소와 몸이 다르게 느껴지거나 자고 일어난 뒤 두통이 심하거나 갑자기 시력이 저하되었다면, 또는 갑자기 말이 어눌해진다거나 체중이 감소했다면 병원을 방문하여 검사하고 정확한 진단을 받는 것이 좋겠습니다.
'팔팔한 하루의 건강정보' 카테고리의 다른 글
| 근이영양증 : 근위축증, 원인, 증상, 진단, 치료 (134) | 2024.07.22 |
|---|---|
| 생리전증후군(PMS) : 원인, 증상, 치료, 월경전증후군 (190) | 2024.07.19 |
| 림프종 : 원인, 증상, 진단, 치료, 미만성 대세포 B형 림프종 (131) | 2024.07.17 |
| 파상풍 : 원인, 증상, 치료, 예방, 파상풍예방주사 (108) | 2024.07.16 |
| 광견병 : 공수증, 원인, 증상, 치료, 광견병백신, 개물림 사고 (107) | 2024.07.15 |